私たちの生活に
欠かせない“見る力”
スマートフォンやパソコンの長時間使用や加齢に伴う変化は、
気づかぬうちに目へ大きな負担を与えています。
当院の眼科ドックは、眼科専門医による診察、最新機器を用いた
総合的な検査により、視力や眼の疲れだけでなく、
緑内障や黄斑変性などの病気リスクを早期に発見できます。
このような症状
心当たりはありませんか?

- 最近、目の疲れが気になる
- 40歳以上であるが
最近眼科に行っていない - 近視である
- 視力の変化を感じている
- 血縁者に眼疾患を持つ
家族歴がある - 長時間パソコンやスマホを
使用する仕事・生活スタイルである
症状が1つでも当てはまったら
眼科ドックを受けることを
おすすめします
眼科ドックとは?なぜ眼科ドックが必要なのか
現代人にとって目の負担は年々増加しています。
「まだ大丈夫」と思っていても、実は進行している病気や
異常が潜んでいることがあります。
眼科ドックではこうしたリスクを
「早期に発見し、必要に応じた治療や予防」につなげます。
スマートフォンやパソコンの
長時間使用で
疲れが溜まりやすい
近視の方は重篤な病気の
リスクが高い
加齢とともに
白内障や緑内障などの
疾患への罹患率も上昇
-
緑内障
-
白内障
-
加齢黄斑変性症
-
強度近視
-
黄斑円孔
-
網膜静脈閉塞症
-
ドライアイ
-
網膜剥離
-
高血圧性網膜症
-
視神経炎
-
黄斑浮腫
-
中心性漿液性
網脈絡膜症 -
眼瞼下垂
-
翼状片
-
ぶどう膜炎
当院の眼科ドックの特徴患者様に選ばれる5つの理由




専門医による丁寧な診察
眼科専門医が、検査結果をもとに丁寧に診察を行います。
気になっている症状や、ご心配事がございましたらお気軽にご相談ください。

検査結果の分かりやすい
フィードバック
患者様が現状を把握できるよう、視覚的に理解しやすい結果サマリーを検査当日にお渡しいたします。
日常生活や今後の受診の目安にしてください。
オンライン閲覧に対応
検査後の結果は、実施日から1か月間ご自宅のスマートフォンやPCからオンラインで確認できます。
また、簡単に結果サマリーを確認、ダウンロードいただけるためご自身のタイミングでじっくりチェック可能。
必要に応じて印刷やご家族との共有もスムーズです。
院長挨拶見える喜びを、これからも続けるために
私たちの毎日は『見えること』に支えられています。
美しい景色を眺める、大切な人の笑顔を見る、本を読む、仕事をする―
そのすべては眼の健康があってこそ成り立ちます。
眼の健康は、豊かな人生を送るための基盤となる大切な要素です。
現代社会では、パソコンやスマートフォンの長時間使用や高齢化の進行により、眼に関するトラブルが増加傾向にあります。
緑内障、糖尿病網膜症、加齢黄斑変性症など、初期には自覚症状が少ない疾患も多く、
気づいた時には既に進行しているケースが少なくありません。
当院は眼科専門病院として、これまで培ってきた信頼と実績をもとに、皆様の眼の健康をお守りしております。
豊富な眼科検査機器を揃え、経験豊富な視能訓練士による精密な検査を行い、眼科専門医が責任を持って診察・診断をいたします。皆様の眼の状態を総合的に評価し、安心して治療に臨んでいただける体制を整えております。
さらに、検査結果はWeb上でもご確認いただけるシステムを導入しており、
パソコンやタブレットからでも結果をご確認いただけます。
眼疾患の多くは、早期発見・早期治療によって進行を防ぐことが可能です。
現在の眼の状態を正しく把握することで、今後の生活習慣の改善にもつながります。
「まだ見えているから大丈夫」「特に症状がないから安心」と思われがちですが、
定期的な検査こそが、将来にわたって良好な視力を維持する最良の方法です。
皆様の大切な眼の健康を守るために、私たちスタッフ一同、心を込めて検査・診断にあたらせていただきます。
どうぞお気軽にご相談ください。
院長 田中 裕一朗
眼科ドックの内容充実の検査プログラム
(全18項目)
33,000円(税込)
3時間程度
費用について
眼科ドックは保険適用外のため、全額自費負担となります。
もし検査で病気の疑いが見つかった場合は、後日の眼科診療予約が可能です。
尚、眼科診療は保険適用となります。
眼科ドック同日中の保険診療を行えませんのであらかじめご了承ください。

問診
現在の症状や生活習慣、既往歴などをヒアリングし、検査、診察を正確に行うための情報を収集します。
少しでも気になる症状がございましたら、問診の際にご相談ください。

視力検査
遠方・近方(手元の見え方)の視力を測定し、近視・遠視・乱視・老眼などの有無や程度を把握

眼鏡検査(使用中の場合)
使用中の眼鏡の度数や、使用環境をチェック。
眼鏡装用時の遠方・近方の視力も確認

コンタクトレンズ検査(使用中の場合)
使用中のコンタクトレンズの度数やフィット状態をチェックし、安全・快適な使用ができているかを確認。
コンタクト装用時の遠方・近方の視力も確認

眼圧
眼の内部(眼球内)の圧力を測定し、緑内障リスクや眼圧異常を早期発見

眼位
左右の眼の位置関係(ずれ)を調べ、斜視や潜在性斜視などの有無を確認

両眼視機能
両眼で一つのものを立体的に見えているかを検査。片眼視や両眼視の異常がないかを評価

調節機能
手元を見るピント調節力(老眼の進行度など)や眼の疲労状態を調べる

視野検査(HFA)
見える範囲(視野)に欠損や異常がないかを調べ、緑内障や網膜疾患の早期発見に役立てる

涙液層破壊時間(BUT)
涙がどの程度安定しているか(何秒で破壊されるか)を計測し、ドライアイの有無や重症度をチェック

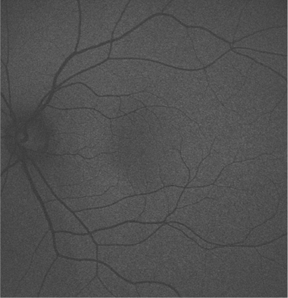
眼底写真検査
網膜の中心部(黄斑・視神経付近)の写真を撮影し、網膜疾患や血管異常の有無を確認

広角眼底写真撮影(最周辺部)
網膜の周辺部まで広範囲を撮影し、網膜裂孔や変性などの異常を中心部以外も含めて早期発見

自発蛍光眼底写真
網膜に含まれる自発蛍光物質を撮影し、加齢黄斑変性・網膜萎縮など、網膜組織の機能異常や変化を評価

眼底光干渉断層系(後眼部OCT)
黄斑部や視神経周辺の断層画像を取得し、網膜の構造変化(黄斑変性・緑内障など)を早期発見

前眼部光干渉断層計(前眼部OCT)
角膜・虹彩・水晶体など前眼部の断層画像を撮影し、隅角(眼の水の流れ道)の状態や角膜形状などから、緑内障や角膜疾患を早期発見

角膜内皮細胞検査
角膜最内層の内皮細胞の数・形状を測定し、コンタクトレンズ長期使用や角膜疾患による細胞減少の有無を確認

細隙灯顕微鏡による観察
顕微鏡で目の表面(角膜・水晶体・結膜など)を直接観察し、白内障や角膜の傷などを早期に見つける

散瞳での眼底観察
瞳孔(黒目)を広げて網膜全体を医師が直接観察し、網膜裂孔・変性・出血などの異常をさらに詳しくチェック
【散瞳検査について】
当院の眼科ドックでは、網膜の詳細な観察を行うために「散瞳」と呼ばれる瞳孔を開く点眼薬を使用する検査を含みます。
散瞳後は、数時間程度、視界がぼやける・光をまぶしく感じるなどの症状が出る場合があります。
そのため、ドック当日は車の運転を控えていただくようお願いいたします。
公共交通機関のご利用、またはお付き添いの方とご来院ください。
眼科ドックの流れご来院からご帰宅まで
散瞳検査およびご帰宅について
当院の眼科ドックでは、網膜の詳細な観察を行うために「散瞳」と呼ばれる瞳孔を開く点眼薬を使用する検査を含みます。
散瞳後は、数時間程度、視界がぼやける・光をまぶしく感じるなどの症状が出る場合があります。
そのため、ドック当日は車の運転を控えていただくようお願いいたします。
公共交通機関のご利用、またはお付き添いの方とご来院ください。
よくある質問Question&Answer
健康保険は使えますか?
眼科ドックは自費となります。健康保険は適用されません。
尚、検査結果で疾患の疑いがあれば次回からの診療は保険が適用となります。
コンタクトを装用していても大丈夫?
大丈夫です。検査内容によっては外していただく場合がございますので、
予備のコンタクトレンズや眼鏡をお持ちください。
車で行っても大丈夫?
散瞳検査を行うと、検査後数時間は見え方に違和感が出る可能性があります。
できるだけ公共交通機関をご利用ください。
送迎する人がいません。公共交通機関について教えてください。
水戸駅より無料のシャトルバスをご用意しております。
詳しくは、ホームページのアクセスをご確認ください。
https://kozawa-ganka.or.jp/access/
当日予約なしで受診できますか?
完全予約制です。事前にお電話またはWebからご予約をお願いいたします。
眼の異常があった場合はどうすれば良いですか?
眼科検査がすべて終わりましたら、眼科医師より詳細なご説明を致します。
眼科疾患が疑われた場合、ご希望がございましたら眼科診療の予約を
お取りいただくことが可能です。
なお、眼科診療は保険が適用となります。
CONTACTご予約・お問い合わせ
- 完全予約制です。お電話またはWebからご予約お願いいたします。
- 眼科ドックは眼の健康を確認することが目的となります。
自覚症状がある場合や疾患が疑われる場合は、眼科診療(保険診療)をお受けください。
- お電話でのご予約・お問い合わせ
TEL029-304-5550
受付時間
9:00~17:00(休診日を除く) - WEB予約









